30代女性インビザライン全顎矯正
| 主訴 | 歯並びを綺麗にしたい |
|---|---|
| 診断名・主な症状 | 重度叢生、狭窄歯列、前歯部交差咬合 |
| 年齢 | 31歳 |
| 治療方法 | 歯冠形態修正を含めた非抜歯全顎矯正 |
| 使用矯正装置 | インビザライン、1週間交換 |
| 抜歯部位 | なし |
| 費用 | ・矯正治療:95万円(税込 1,045,000円) ・調整費:5,000(税込 5,500)/1〜2ヶ月に1回 |
| 治療期間・通院回数 | 2年、通院12~18回 |
| 副作用・リスク | ・1日20時間以上+正しく使用しないと、充分な治療結果を得られないことがあります。 ・完成物薬機法対象外の矯正歯科装置のため、医薬品副作用被害救済制度の対象外となる場合があります。 |
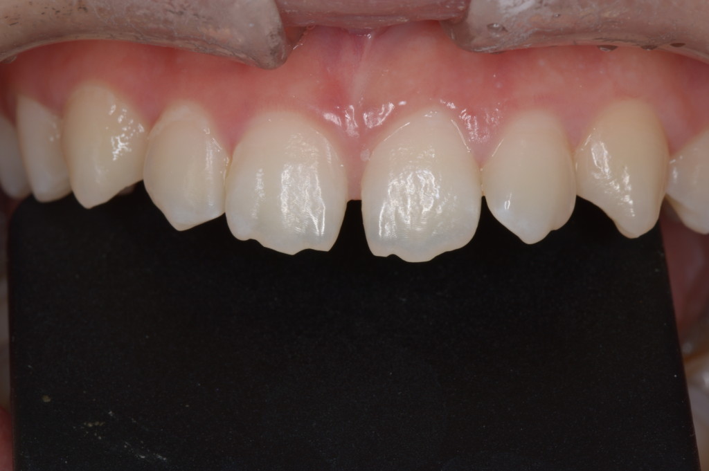
治療詳細
-
左側【治療前】
-
左側【治療後】
-
右側【治療前】
-
右側【治療後】
-
上顎【治療前】
-
上顎【治療後】
-
下顎【治療前】
-
下顎【治療後】












































