
診療時間 9:30-19:00(土曜は18:30)
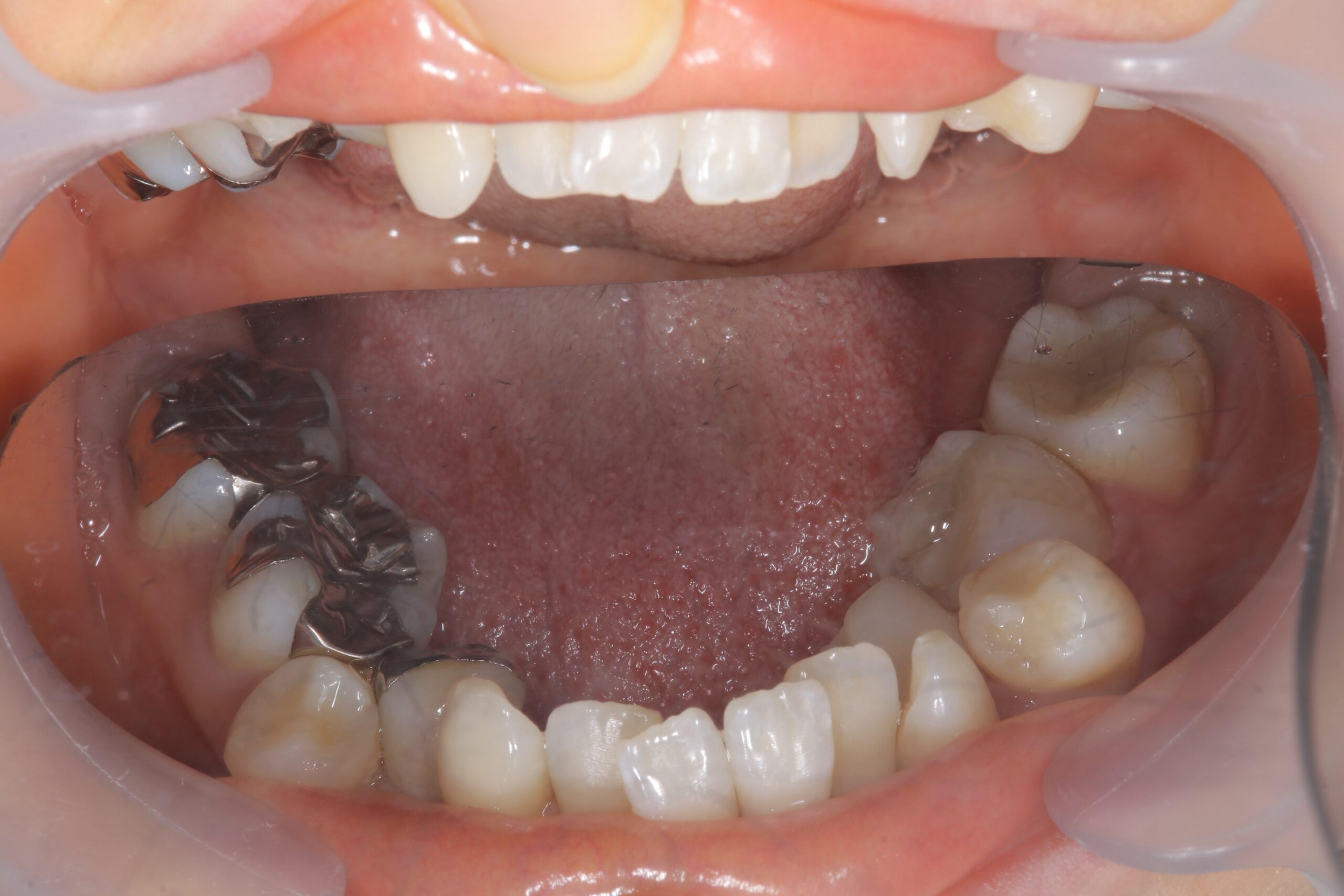
| 主訴 | 噛み合わせが悪い |
|---|---|
| 診断名・主な症状 | 重度叢生、上顎前突、前歯部開咬、移転歯(左上犬歯、第一小臼歯の場所が逆) |
| 年齢 | 32歳 |
| 治療方法 | 上下左右小臼歯抜歯を伴う矯正治療およびう蝕処置、歯冠修復 |
| 使用矯正装置 | インビザライン、1~2週間交換 |
| 抜歯部位 | 上下左右第一小臼歯(計4本) |
| 費用 | *矯正治療に対して ・矯正治療:95万円(税込 1,045,000円) ・便宜抜歯:15,000円×4(合計税込 66,000円) ・調整費:5,000(税込 5,500)/2ヶ月に1回 |
| 治療期間・通院回数 | 3年、通院18回 *矯正治療に対して |
| 副作用・リスク | *矯正治療に対して ・1日20時間以上+正しく使用しないと、充分な治療結果を得られないことがあります。 ・完成物薬機法対象外の矯正歯科装置のため、医薬品副作用被害救済制度の対象外となる場合があります。 |
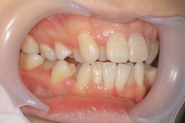
左側【治療前】
左側【治療後】
右側【治療前】
右側【治療後】
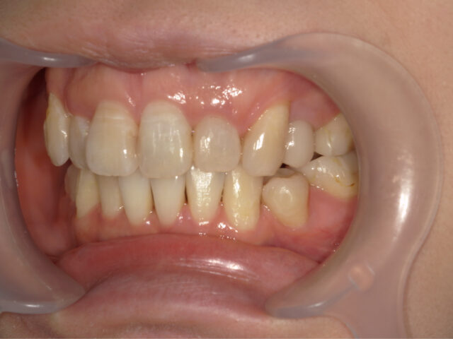
上顎【治療前】
上顎【治療後】
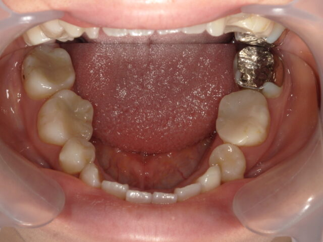
下顎【治療前】
下顎【治療後】
| 主訴 | 歯並びを綺麗にしたい |
|---|---|
| 診断名・主な症状 | 重度叢生、狭窄歯列、前歯部交差咬合 |
| 年齢 | 31歳 |
| 治療方法 | 歯冠形態修正を含めた非抜歯全顎矯正 |
| 使用矯正装置 | インビザライン、1週間交換 |
| 抜歯部位 | なし |
| 費用 | ・矯正治療:95万円(税込 1,045,000円) ・調整費:5,000(税込 5,500)/1〜2ヶ月に1回 |
| 治療期間・通院回数 | 2年、通院12~18回 |
| 副作用・リスク | ・1日20時間以上+正しく使用しないと、充分な治療結果を得られないことがあります。 ・完成物薬機法対象外の矯正歯科装置のため、医薬品副作用被害救済制度の対象外となる場合があります。 |
左側【治療前】
左側【治療後】
右側【治療前】
右側【治療後】
上顎【治療前】
上顎【治療後】
下顎【治療前】
下顎【治療後】
| 主訴 | 八重歯が気になる |
|---|---|
| 診断名・主な症状 | 重度叢生、前歯部交差咬合 |
| 年齢 | 21歳 |
| 治療方法 | 上顎左右の小臼歯の抜歯を伴う矯正治療 |
| 使用矯正装置 | インビザライン1週間交換 |
| 抜歯部位 | 上顎左右第一小臼歯 |
| 費用 | ・矯正治療:95万円(税込 1,045,000円) ・便宜抜歯:15,000円×2(合計税込 33,000円) ・調整費:5,000(税込 5,500)/2ヶ月に1回 |
| 治療期間・通院回数 | 1.5年、通院10回 |
| 副作用・リスク | ・1日20時間以上+正しく使用しないと、充分な治療結果を得られないことがあります。 ・完成物薬機法対象外の矯正歯科装置のため、医薬品副作用被害救済制度の対象外となる場合があります。 |
左側【治療前】
左側【治療後】
右側【治療前】
右側【治療後】
上顎【治療前】
上顎【治療後】
下顎【治療前】
下顎【治療後】
SUPPORT YOUR LIFE
RECRUITMENT
西宮市の西宮北口歯医者 エイチアンドエルでは、患者さまの生涯の健康を共に支える仲間を必要としています!