2月11・12日は祝日と振替休日で連休でしたね。
12日は次男(6才)が初めての抜歯を行ないました。

局所麻酔の注射も泣かずに、抜歯もスムースに出来ました!!

大人の歯並びは悪くなりそうなので、小児矯正を計画しています〜(^_^;)
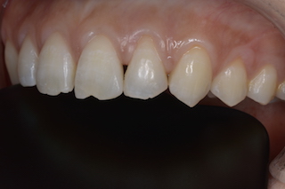
連休中、空いた時間で治療前後の写真や動画を整理。
そんな中、懐かしいな〜って写真を。。。

これからも記録はしっかり残していこうっと!!

診療時間 9:30-19:00(土曜は18:30)
西宮北口歯医者 エイチアンドエル のブログ&コラム
ブログ&コラム

SUPPORT YOUR LIFE
RECRUITMENT
西宮市の西宮北口歯医者 エイチアンドエルでは、患者さまの生涯の健康を共に支える仲間を必要としています!