大きな虫歯で神経の処置(根管治療)を行なった歯については、
多くの場合クラウン(被せ)が必要となります。
そのクラウンを支えるご自身の歯がほとんどない場合は土台も人工物で補います。
それがコアです。
コアにも種類があり、メタルコア、ポストコア、レジンコア、ファイバーコアetc
コアの材料によって適応非適応、利点欠点があります。
そんな中で現在注目を集めているのが
ペクトンコアです。
ペクトンコアは
ショックアブソーバーの役割、
高分子材料で適度な硬さ、
など利点が多く、これからの歯科材料として非常に有効であります。
研究論文では根管治療を施した歯は力に対する感度が鈍くなっていることがわかっています。
その歯に大きな力が加わってもご自身では気づきにくいため、
より大きな力が加わり歯が割れてしまう可能性が高いと考えます。
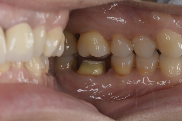
以前にブログで紹介した根管治療を行なった患者さんです。
仮歯で1ヶ月ほど経過観察し、問題なく日常生活を過ごされていましたので、
ペクトンコア+オールセラミックスクラウン
を装着しました。



ペクトンコアだからといって全てが安心とは思いません。
今後の経過観察して、必要であれば咬合調整して、この歯を長く保っていきたいと思います。
保険適用の材料ではないので、自由診療となります。
症状:根管治療後の形態修復
治療法:ペクトンコア+オールセラミックスクラウン
通院回数:3回
費用:合計93,500円(自由診療)








